Below are before and after photos from actual patients of Eric Hull DDS Aesthetic & General Dentistry. It brings us a tremendous amount of pride to improve our patients’ smiles using a variety of dental treatments! If you want to hear what patients have said about their experiences with us, visit our testimonials page.
Porcelain Veneers
Composite Veneers
Full Mouth Rehabilitation
Dental Crowns
Crown Lengthening
Dental Bonding
Teeth Bridges
Dental Implants
Porcelain Veneers
Four Porcelain Restorations


Four Porcelain Veneers Plus Gingivectomy




Ten Porcelain Veneers


Porcleain Veneer on a Single Central Incisor



This is one of the hardest cases in cosmetic dentistry, because the veneer has to block out the color of the underlying tooth structure while also looking vibrant and life like. We did a single veneer on a dark central incisor, in order to match the color, shape, and design of the adjacent central incisor.
Two Veneers on Central Incisors




Single Veneer on Upper Right Canine



Six Veneers
Two Teeth Veneers
Two Porcelain Veneers
Four Veneers
Composite Veneers
Three composite veneers, and one porcelain restoration





For this case we wanted to emphasize being conservative, and not remove any tooth structure with treatment. Our patient had an old, discolored crown on her left central incisor (tooth 9 – her left front tooth) that needed to be replaced. In order to idealize the size of the tooth and close the spaces between her upper front teeth, we first completed composite veneers on her three other front teeth. The composite veneers were all additive (no tooth structure was removed). We then took off the old crown on tooth 9, and replaced it with a new porcelain crown that matched our composite veneers.
Orthodontics followed by Six Composite Veneers



Six composite veneers with a digital design and no tooth preparation




Full Mouth Rehabilitation
Full mouth rehabilitation done in a conservative and responsible way! Porcelain on the upper arch, no prep composite on the lower arch.


Our wonderful patient had excessive tooth wear due to a constricted and deep bite. So, we designed a new functional system that places biting forces on back teeth rather than the front teeth. We added height to our patient’s back teeth (increased vertical dimension) which gave us room to rebuild his lower front teeth.
Upper teeth were restored with porcelain restorations. Veneers on upper front teeth were replaced, minimal prep porcelain onlays were used on upper back teeth to increase vertical dimension.
No tooth structure on lower teeth was removed. All additive composite restorations were used to build up lower teeth.
Upper arch rehabilitation with six porcelain veneers on front teeth and four porcelain crowns on back teeth



Upper Arch Rehab




Twelve porcelain crowns/veneers.

I did both her upper and lower arches and changed her bite for this case. I placed veneers on the front teeth and crowns on the back teeth to allow the beauty to match the function.
Dental Crowns
Ten porcelain crowns and veneers.

I typically tell patients that crowns should only be placed on the back teeth. There are exceptions such as for implants or when replacing existing crowns on front teeth. In this case, I placed crowns on the front teeth where previous crowns had to be replaced and I placed veneers on the other front teeth. I placed additional crowns on the back teeth.
Two porcelain veneers and Two porcelain crowns.

I replaced two old dental crowns and added two porcelain veneers to this patient’s front teeth to make his smile more uniform and attractive.
Crown Lengthening
Ten Composite Veneers with Crown Lengthening




Cosmetic crown lengthening, followed by six veneers.
Dental Bonding
Cosmetic Teeth Bonding
Teeth Bridges
Tooth Replacement — Veneer and Bridge







Dental Implants
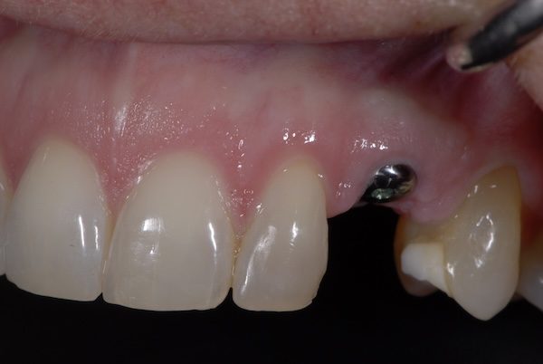
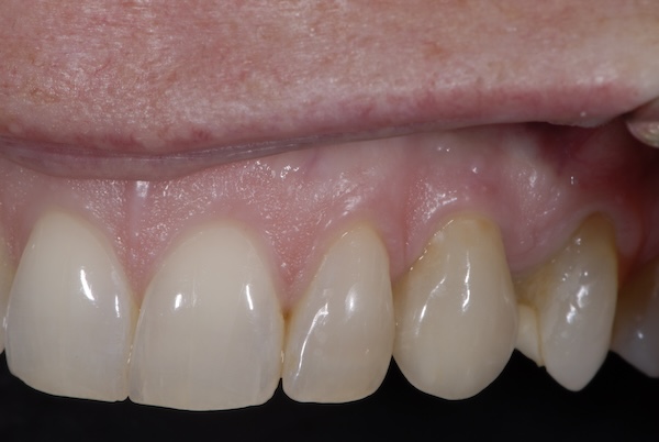
A single tooth implant and veneer




One implant used to replace a retained baby tooth

















































